


BEZPLATNÁ konzultácia v hodnote 20€ - Na začiatku sa s vami podrobne porozprávame o vašich zuboch a navrhneme vám individuálny plán liečby.
GARANCIA KVALITY - Máme dlhoročné skúsenosti, kvalitné inštrumentárium a skúsené zubné laboratórium.
BEZBOLESTNÉ OŠETRENIE - Zákroku sa vôbec nemusíte báť, pretože vám vieme zaručiť bezbolestné ošetrenie.
ZÁRUKA 5 ROKOV - Veríme svojej práci. U nás nebudete musieť ten istý zub riešiť dvakrát.
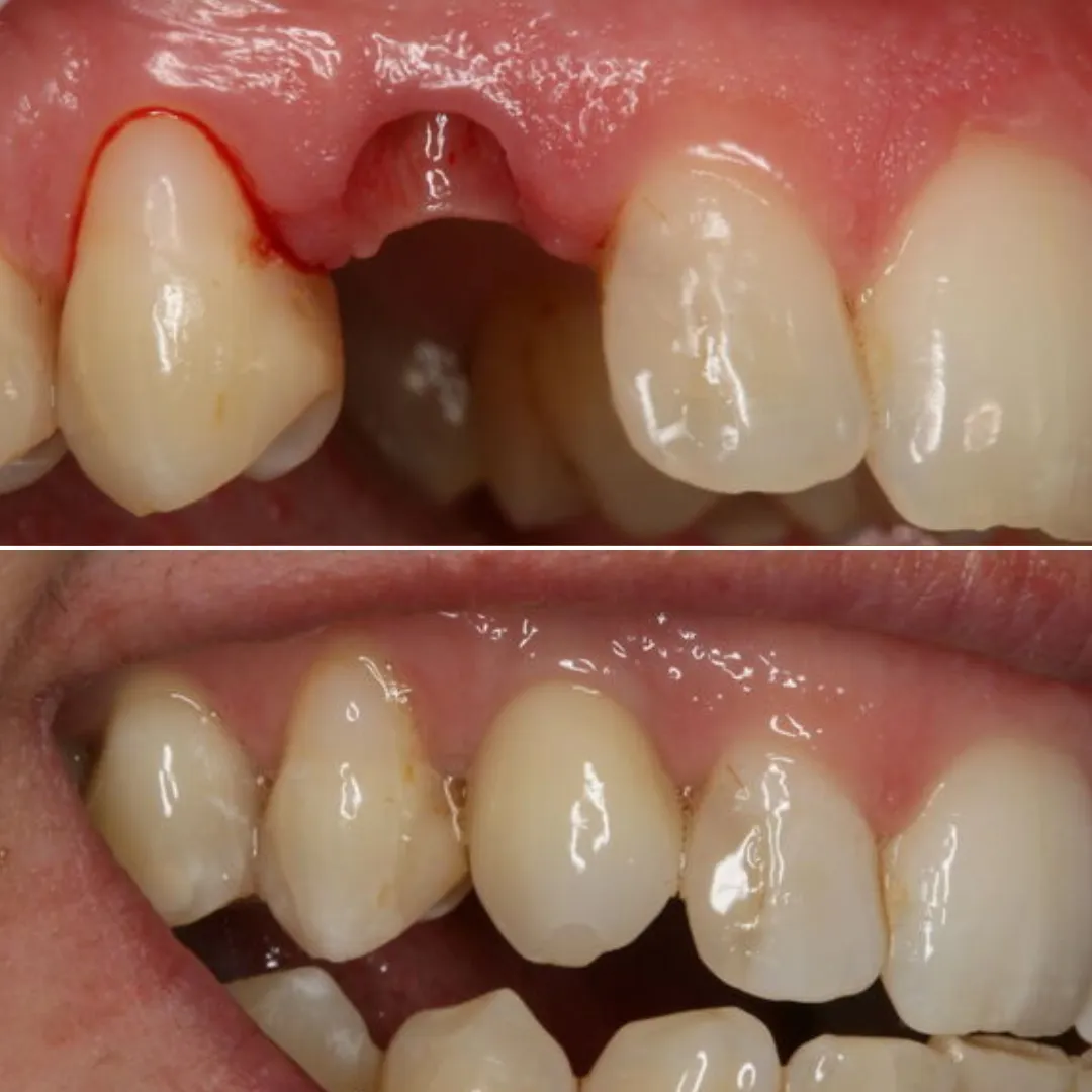
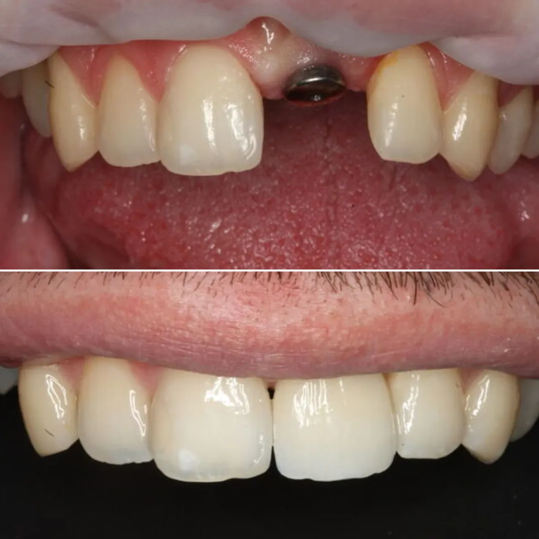
KVALITNÉ IMPLANTÁTY ANKYLOS - Používame implantáty od renomovanej nemeckej značky DENTSPLY ANKYLOS, ktoré sa vyznačujú minimom komplikácií a dlhou životnosťou.
VOUCHER na 150€ zľavu - Teraz od nás máte možnosť získať na LIMITOVANÝ čas zľavový voucher.
Vďaka aktuálne prebiehajúcej akcii môžete ušetriť až 150 €. Túto zľavu vám automaticky zašleme formou voucheru po vyplnení formulára.
Prineste si vlastný 3D röntgen aktuálneho stavu zubov. Ak ho nemáte, radi vám zhotovíme 3D CBCTC RTG. Následne zadarmo s vami preberieme detaily a ďalší postup.
Na základe informácií z našej spoločnej konzultácie vám dáme na výber a odporučíme vhodný typ implantátu, ktorý vám zmení život k lepšiemu.
Pripravíme vám nezáväznú cenovú ponuku, z ktorej budete mať odpočítanú 150€ zľavu, ktorú získate a vy sa podľa toho rozhodnete.




NAŠI SPOKOJNÍ PACIENTI
Stabilita: Zubné implantáty sú navrhnuté tak, aby poskytovali pevnú a stabilnú náhradu chýbajúcich zubov. Sú implantované priamo do kosti, čo im zabezpečuje vynikajúcu fixáciu a podporu pre umelé zuby.
Estetika: Implantáty sa prispôsobujú prirodzenému vzhľadu vašich zubov, čo znamená, že budú zdôrazňovať váš prirodzený úsmev a vašu tvár.
Trvácnosť: Správne umiestnené a správne starostlivo ošetrované implantáty majú potenciál vydržať celý život. Tým, že sa vytvára trvalá väzba medzi implantátom a kosťou, sa minimalizuje riziko ich pohybu alebo rozpadu.
Komfort: Zubné náhrady nesené na implantátoch prinášajú pacientom ľahšie čistenie a starostlivosť, čím sa predlžuje aj ich životnosť. Zuby nie sú pospájané ako pri mostíkoch, vďaka čomu je ich hygiena omnoho jednoduchšia než pri iných náhradách (mostíky).
Spoločenský život: Bezpečné a pevné implantáty vám umožnia žiť plnohodnotný život bez obáv o chýbajúce zuby. Budete sa cítiť pohodlnejšie pri rozprávaní, jedle a úsmeve.

Zubný lekár MDDr. Marko Šuca vyštudoval lekársku fakultu UPJŠ v Košiciach. Po úspešnom ukončení získal titul „MDDr.“ (Medicinae dentalis doctor). Počas tohto štúdia absolvoval prax v odbore záchovnej stomatológie, endodoncie, protetiky, detského zubného lekárstva, parodontológie a chirurgie na Klinike stomatológie a maxilofaciálnej chirurgie pod vedením vysokoškolských asistentov.
Vo svojej súkromnej stomatologickej ambulancii od roku 2013 s úspechom využíva možnosti moderných technológií a ako jeden z mála zubných lekárov využíva výhody stomatologického mikroskopu. Venuje sa stomatologickej protetike, endodoncii a implantológií.

V roku 2017 úspešne ukončil śtúdium v certifikačnom odbore DENTOALVEOLÁRNA CHIRURGIA a je absolventom Implant & Aesthetic Academy u uznávaného implantológa MUDr. Igora Čecha. V roku 2020 ukončil štúdium v certifikačnom odbore IMPLANTOLÓGIA.

Pacientov úspešne v odboroch konzervačného zubného lekárstva, endodoncie a protetiky ošetruje aj zubná lekárka MDDr. Alexandra Janíčková. Ukončila vysokoškolské vzdelanie na lekárskej fakulte v Košiciach, odkiaľ si priniesla mnoho cenných vedomostí a skúseností. Neustále sa v odbore vzdeláva, je absolventkou mnohých kurzov a školení na Slovensku i v zahraničí.
Tešíme sa na vás v stomatologickej ambulancii na ulici Matice slovenskej 2A v Prešove, kde spolu s vami pripravíme diagnosticko-terapeutický plán s rešpektovaním vašich zdravotných, časových a finančných možností.



Pri samotnom zákroku sa používa lokálna anestéza, takže v tejto fáze nebudete cítiť žiadnu bolesť. V deň zákroku a po odznení anestézy môžete očakávať mierny diskomfort, ktorý zvládnete chladením tváre ľadovým obkladom a liekmi proti bolesti.
Doba hojenia sa líši v závislosti od jednotlivca a rozsahu zákroku. Vo všeobecnosti však proces hojenia trvá niekoľko mesiacov. V priebehu tohto obdobia sa implantáty integrujú s kostným tkanivom a vytvárajú pevné spojenie.
Väčšina pacientov je vhodná na zubné implantáty, avšak niektoré zdravotné stavy (ako napríklad nekontrolovaný diabetes) alebo nedostatok dostatočného kostného tkaniva môžu predstavovať prekážky.
Správne udržované a starostlivo ošetrované implantáty majú potenciál vydržať celý život. Dôležité je dodržiavať pravidelnú ústnu hygienu a pravidelné kontroly.
V našej ambulancii používame implantáty renomovanej nemeckej značky DENTSPLY ANKYLOS. Minimum komplikácii a klinické skúsenosti nás presvedčili o ich nenahraditeľnosti. Protetické práce (korunky a mostíky) zhotovujeme v spolupráci s technikmi s dlhoročnou tradíciou a kvalitou.
Cena jedného implantátu je individuálna a záleží od viacerých okolností a stavu vášho chrupu, začína ale približne od 600€, no teraz máte ideálnu príležitosť ušetriť 150€, vďaka našej prebiehajúcej LIMITOVANEJ zľave!